
豊岡病院 循環器内科
山本 哲也 氏
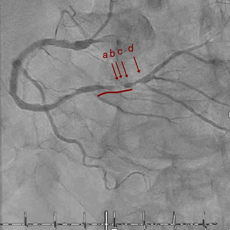
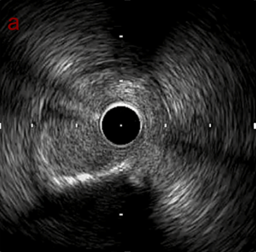
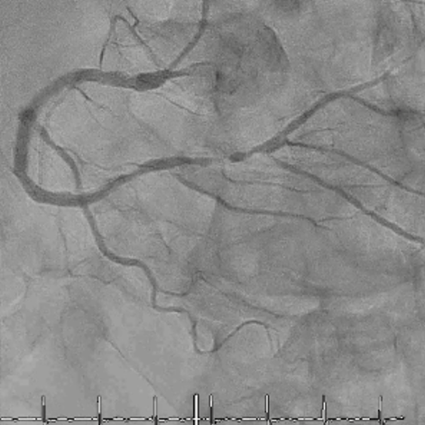
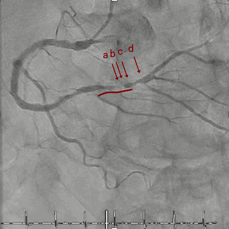
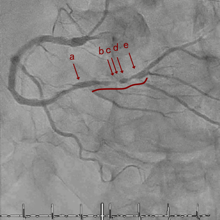
CAG
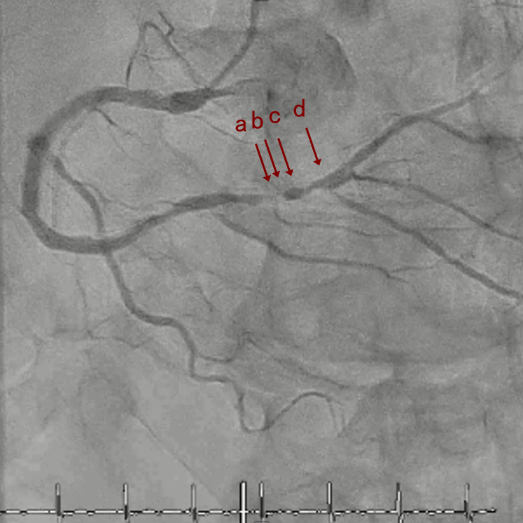
RCA distalの高度石灰化狭窄病変
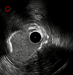
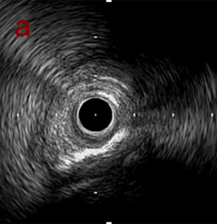
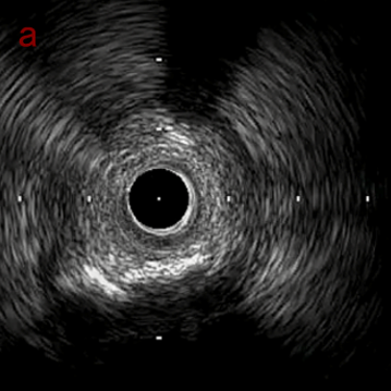
IVUS imaging
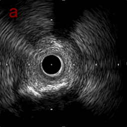
IVUSでは8時方向からPD枝がはいいてくる。
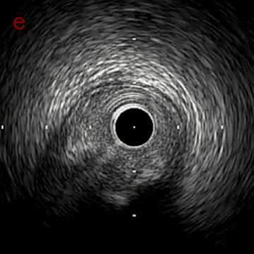
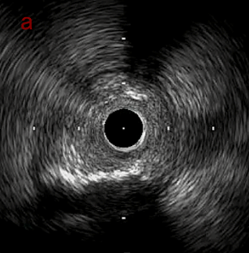
PreのIVUSではaの部位のみlipid plaqueを認め削ることでdistal embolismのリスクがあり、そのほかは270度の偏心性石灰化であるがwire biasは良好。
OAS low speedによる引きを赤線の区間行う方針とした。
OAS low3回 造影上の切削区間の確認
末梢病変であるがOASはGlide Assistで容易にdeliveryできた
OAS引きはじめ
OAS終点
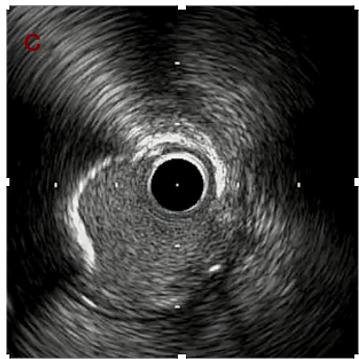
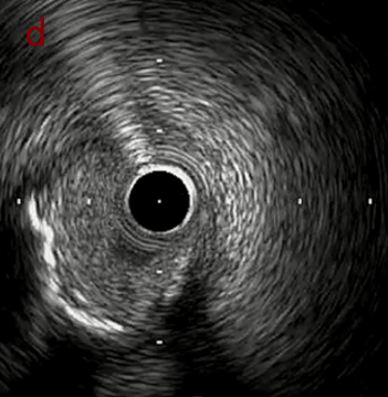
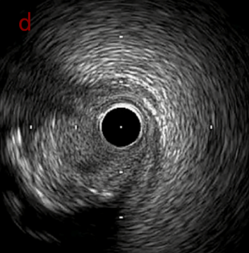
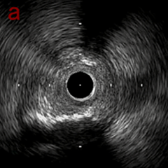
IVUS after OAS low speed 3回
IVUS imaging after low speed 3回
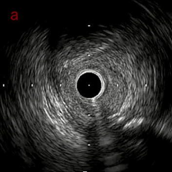
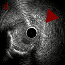
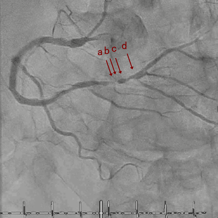
OAS low speedによる引きのsandingを3回行いIVUSを確認するとa-cでは心筋側側へのOASによる良好なbias変化と、それに伴いdの健常側への危険なbias変化を認めた。
そのためcでIVUSマーキングを行い、その点より引きで赤線のpinpoint OAS high speedを行い、dに関してはinjury回避のためにOASを当てない方針とした。
pinpoint OAS
しっかりIVUSマーキングした安全な位置から、造影で確認してOASの引きを繰り返す
IVUS マーキング
OAS開始点
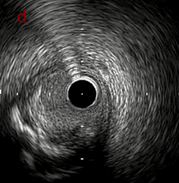
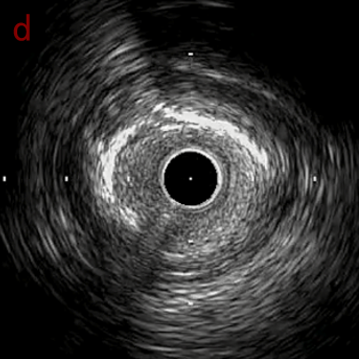
IVUS after OAS high speed 3回
IVUS imaging after high speed 3回
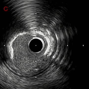
a,b,cはさらに石灰化に食い込み、石灰化量は減少。
それに伴いdではbiasがさらにtentingのIVUS所見にへんかしhigh injury riskと思われた。
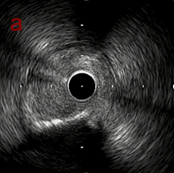
引き続き造影で確認してpinpointで引きのOAS high speedを3回さらに追加のためcでIVUSマーキングを行い、その点より引きで赤線のpinpoint OAS high speedを行い、dに関してはinjury回避のためにOASを当てない方針とした。
IVUS after OAS high speed 3回追加
IVUS imaging after high speed 3回追加
a,b,cの十分な石灰化のsanding。
High riskのbias所見へと変わっていったdの部位に関してはpinpoint OASを行うことでinjuryなく治療できた。
Cutting + DCBの方針に。
POBA wolverine 2.5mm
IVUS after POBA
IVUS imaging after POBA
OASによる石灰化部位は良好なsandingができており、POBAを行うことで石灰化にcracksを認めたため予定通りDCBに。
手前のlipid plaqueを含む病変はステント留置。
DCB 2,5*20mm/ Stent 3.0*24mm
責任病変にはDCB、手前のlipidな部位にはステントを留置
Final
良好な拡張を得て終了した。
OASを行うたびに徐々に心筋側側にwire bias変化をきたし、石灰化病変部に関してはそれが良い変化となっているが、distal reference (d) に関してはinjury riskの高いbias変化となっていった。
Pre
OAS low3
OAS high3
OAS high3
Cutting2.5mm
OASは右冠動脈の末梢病変でもGlide Assistで容易にdeliverできた。
OASでsandingを繰り返すことでwire biasは大きく変化することがある。
その変化は良好な変化のこともあれば危険な変化のこともある。
本症例は石灰化病変部に関してはsandingを行うことで石灰化内に食い込み、良好なbias変化をきたした。しかし、その一方でwire biasが心筋側側にかかることでdistal referenceで健常側への危険なbias変化をきたした。
OASの後、繰り返しIVUSを行うことでwire bias変化を捉えることができる。またIVUSマーキングすることで、ピンポイントに削りたいところだけを安全に削ることができる。